Propósito: Los protocolos e informes de adquisición de imágenes en pacientes con pectus excavatum (PEX) difieren significativamente de exámenes de rutina, y ninguna modalidad de imagen puede permitir una evaluación integral de la gravedad de PEX e impacto cardíaco en un solo examen.
Por lo tanto, intentamos establecer recomendaciones sobre Imágenes preoperatorias en pacientes con PEX. Método: tomografía computarizada (TC) de tórax, ecocardiografía de esfuerzo (eco) y resonancia magnética cardíaca. (CMR) permiten la evaluación de información específica sobre características estructurales y funcionales de importancia para evaluar la candidatura quirúrgica y definir estrategias quirúrgicas.
Buscamos brindar un enfoque multidisciplinario documento de vanguardia que involucra a cirujanos torácicos, radiólogos y cardiólogos; para establecer recomendaciones sobre las variables a incluir en los informes de los exámenes de imagen realizados en pacientes con PEX.
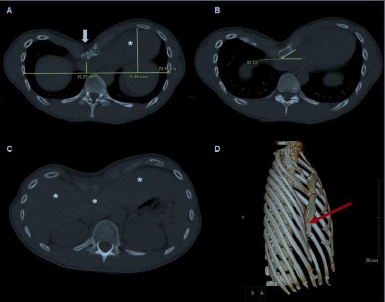
Resultados: Ofrecemos recomendaciones para la adquisición y análisis de imágenes preoperatorias, orientadas a la evaluación de la gravedad de la deformidad de la pared torácica (TC); el sitio de máxima compresión cardíaca, grado de aumento dependencia interventricular y presencia de derrame pericárdico (RMC); y el efecto de PEX en el funcional capacidad y función sistólica y / o diastólica relacionada con el ejercicio, y compresión del anillo tricúspide (Eco).
Conclusiones: Este documento multidisciplinario de vanguardia que involucra a cirujanos torácicos, radiólogos y Los cardiólogos brindan recomendaciones sobre imágenes preoperatorias para pacientes con PEX.
| Fuente: | Documento original |
