Objetivo: la evaluación preoperatoria de pacientes con pectus excavatum (PE) exige la evaluación de la malformación índices, generalmente con tomografía computarizada (TC) de tórax. Además, la evaluación del impacto cardíaco de La depresión esternal se ha convertido en una regla en los centros de alta referencia, por lo que se requieren dos modalidades de imágenes independientes y utilizar radiaciones ionizantes en una población muy joven. El objetivo de este estudio fue explorar el acuerdo entre la TC de tórax y la RM cardíaca estándar (RMC) para la evaluación de los índices de malformación de la pared torácica.
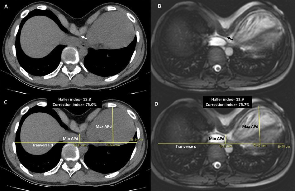
Métodos: se incluyeron pacientes consecutivos con TEP remitidos para ser sometidos a TC de tórax y RMC para establecer candidatura y / o definir estrategias de tratamiento. Tanto la TC como la RMC se realizaron a la espiración completa. En ambos modalidades, el índice de Haller (HI) y el índice de corrección (IC) fueron calculados por dos observadores independientes. En CMR, solo se utilizaron imágenes scout. La concordancia se evaluó mediante coeficientes de correlación intraclase (CCI).
Resultados: Cincuenta pacientes comprendieron la población de estudio (mediana de edad 19,0 años) y se sometieron a TC de tórax y RMC. dentro del mismo mes. La evaluación por RMC de los índices de malformación torácica fue reproducible, con una muy buena acuerdo interobservador para HI [ICC 0,93 (0,88-0,96), p <0,0001] e IC [ICC 0,91 (0,83-0,95), p <0,0001]. La RMC también tuvo una muy buena concordancia con la TC de tórax para HI [ICC 0.90 (0.82-0.94), p <0.0001] y mediciones de IC [ICC 0,93 (IC del 95%: 0,88-0,96), p <0,0001].
Conclusiones: Demostramos una excelente concordancia entre la TC de tórax y la RMC estándar para la evaluación de malformaciones de la pared torácica, lo que potencialmente permite la evaluación preoperatoria de la gravedad de la EP y la afectación cardíaca con una única herramienta de diagnóstico.
| Fuente: | Documento original |
