- Detalles
- Categoría: Biblioteca Virtual
Introducción Las complicaciones del procedimiento de Nuss son bien conocidas. Sin embargo, las publicaciones sobre las complicaciones intraoperatorias y postoperatorias del procedimiento de extracción de barras (BRP) son escasas. ¿Son infrecuentes, desconocidos o no se informan correctamente? ¿Estamos listos para enfrentarlos?
- Detalles
- Categoría: Biblioteca Virtual
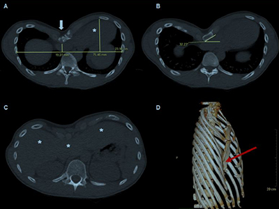
Objetivo: la evaluación preoperatoria de pacientes con pectus excavatum (PE) exige la evaluación de la malformación índices, generalmente con tomografía computarizada (TC) de tórax. Además, la evaluación del impacto cardíaco de La depresión esternal se ha convertido en una regla en los centros de alta referencia, por lo que se requieren dos modalidades de imágenes independientes y utilizar radiaciones ionizantes en una población muy joven. El objetivo de este estudio fue explorar el acuerdo entre la TC de tórax y la RM cardíaca estándar (RMC) para la evaluación de los índices de malformación de la pared torácica.
- Detalles
- Categoría: Biblioteca Virtual



